Passer au contenu
ME CONNECTER
ACCUEIL
AGENDA DES FORMATIONS
CATALOGUE DES E-LEARNINGS
REVUE DE LA MÉDECINE GÉNÉRALE
ACTUALITÉS ET PRESSE
LA SSMG
LA SSM-J
FORMATION ET ACCRÉDITATION
AIDE À LA CONSULTATION
CELLULES SPÉCIFIQUES
DÉVELOPPEMENT DU CABINET IMPULSEO
RECHERCHE ET TFE
OFFRES ET SERVICES
Rechercher:
Rechercher:
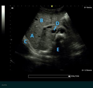
Image Echo L2 ch5_REV
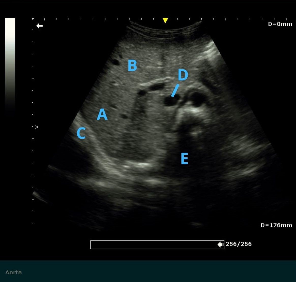
Image Echo L2 ch5_REV
Carine Morin
2022-09-22T15:23:52+02:00
Page load link
Aller en haut